Super-Specialist Orthopedic Surgeons Complete Spine & Joint Care Under One Roof Minimally Invasive Surgeries, Faster Recovery Personalized & Precise Treatments Advanced Trauma & Fracture Management Pediatric Orthopedic Excellence Sports Medicine & Injury Care Expert Physiotherapy & Rehabilitation Ethical, Compassionate & Patient-First Approach
Super-Specialist Orthopedic Surgeons Complete Spine & Joint Care Under One Roof Minimally Invasive Surgeries, Faster Recovery Personalized & Precise Treatments Advanced Trauma & Fracture Management Pediatric Orthopedic Excellence Sports Medicine & Injury Care Expert Physiotherapy & Rehabilitation Ethical, Compassionate & Patient-First Approach

Spine Surgery

  • Minimally Invasive Spine Surgery
  • Endoscopic Spine Surgery
  • Spinal Fractures & Trauma
  • Spinal Tuberculosis
  • Spine Infections
  • Degenerative Spine Conditions
  • Spinal Deformities
  • Osteoporotic Spine Fractures
  • Ankylosing Spondylitis
  • Robotic & Navigation-Assisted Spine Surgery
  • Scoliosis
  • Kyphosis
  • Cervical & Lumbar Disc Prolapse
  • Cervical Myelopathy
  • Lumbar Canal Stenosis
  • Advanced Pain Management Techniques
Minimally Invasive Spine Surgery

Minimally Invasive Spine Surgery

Minimally Invasive Spine Surgery (MISS) has revolutionized the treatment of many spinal disorders by allowing surgeons to perform complex procedures with smaller incisions, reduced muscle damage, and quicker recovery times. We are specialize in a variety of minimally invasive techniques, including discectomy, spinal fusion, and decompression surgeries. MISS is often used to treat conditions such as herniated discs, spinal stenosis, and degenerative disc disease, offering patients the benefits of less postoperative pain, minimal scarring, and a faster return to normal activities.

Endoscopic Spine Surgery

Endoscopic Spine Surgery

Endoscopic Spine Surgery is an advanced form of minimally invasive surgery that allows for highly precise spinal operations using an endoscope, a small tube with a camera and surgical instruments. We utilize endoscopic techniques to treat spinal conditions like lumbar disc herniations, spinal stenosis, and nerve compressions. With this approach, we can perform procedures through incisions smaller than a centimeter, providing faster recovery and minimal postoperative discomfort. This method is particularly effective for patients seeking minimally invasive options to relieve chronic back or neck pain.

Spinal Fractures & Trauma

Spinal Fractures & Trauma

Spinal fractures can result from high-impact accidents, falls, or sports injuries, and in severe cases, may lead to nerve damage or paralysis. We are expert in the management of spinal trauma, providing both non-surgical and surgical solutions to stabilize the spine, alleviate pain, and protect spinal cord function. Depending on the type and severity of the injury, treatment options may include spinal fusion, vertebroplasty, or kyphoplasty to restore spinal stability and alignment. Our personalized approach ensures that each patient receives the most appropriate treatment for their condition, promoting optimal recovery.

Spinal Tuberculosis

Spinal Tuberculosis

Spinal Tuberculosis, or Pott’s Disease, is a severe form of tuberculosis that affects the spine, leading to vertebral destruction, spinal deformity, and neurological deficits. We are skilled in diagnosing and treating this rare yet debilitating condition. Treatment typically involves a combination of anti-tubercular medication and, in more advanced cases, surgical intervention to stabilize the spine and prevent further damage. Surgery may include decompression of the spinal cord, abscess drainage, and spinal reconstruction to prevent or correct deformities such as kyphosis.

Spine Infections

Spine Infections

Spinal infections, including discitis, osteomyelitis, and post-operative infections, can cause severe pain, fever, and neurological symptoms. These infections may occur due to bacteria, fungi, or other pathogens. We offer comprehensive care for patients with spinal infections, including diagnostic imaging and minimally invasive biopsies to identify the infection source. In cases where conservative treatments fail, We perform surgical debridement and stabilization procedures to control the infection and restore spinal function. His expertise in vacuum-assisted closure (VAC) therapy further aids in the management of post-operative infections.

Degenerative Spine Conditions

Degenerative Spine Conditions

Degenerative spine conditions, such as herniated discs, spinal stenosis, and spondylolisthesis, are common as people age. These conditions can cause chronic back and neck pain, weakness, and numbness due to the compression of nerves or the spinal cord. We use a patient-centered approach to treat degenerative spine conditions, offering a range of treatments from conservative methods like physical therapy, medication, and epidural injections to more advanced surgical interventions such as laminectomy, foraminotomy, and spinal fusion. By utilizing minimally invasive techniques, We ensure faster recovery and improved outcomes for his patients.

Spinal Deformities

Spinal Deformities

Spinal deformities, including scoliosis, kyphosis, and lordosis, affect the alignment and curvature of the spine and can lead to pain, reduced mobility, and respiratory issues. We are specialize in the correction of spinal deformities, offering both conservative treatments, such as bracing and physical therapy, and advanced surgical options, including spinal fusion and vertebral body tethering. For complex cases of scoliosis and kyphosis, We provide cutting-edge solutions to restore spinal alignment, prevent further deformity, and improve the patient’s overall quality of life.

Osteoporotic Spine Fractures

Osteoporotic Spine Fractures

Osteoporotic spine fractures are common in elderly patients with weakened bones due to osteoporosis. These fractures, also known as vertebral compression fractures, can cause significant pain and height loss, and may lead to further spinal deformities if left untreated. We offer minimally invasive treatments such as vertebroplasty and kyphoplasty, which involve injecting bone cement into the fractured vertebra to stabilize the spine and relieve pain. These techniques provide immediate pain relief and help prevent future fractures, ensuring that patients maintain their mobility and independence.

Ankylosing Spondylitis

Ankylosing Spondylitis

Ankylosing Spondylitis (AS) is a chronic inflammatory disease that primarily affects the spine and sacroiliac joints, leading to severe stiffness and, in advanced stages, the fusion of vertebrae. We provide specialized care for patients with AS, focusing on reducing pain, improving mobility, and preventing or correcting spinal deformities caused by the disease. Treatment may include anti-inflammatory medications, physical therapy, and, in more severe cases, corrective spinal surgery to alleviate pressure on the spinal cord and nerves. We are expertise in treating AS ensures that patients can maintain a good quality of life despite the challenges posed by the condition.

Robotic & Navigation-Assisted Spine Surgery

Robotic & Navigation-Assisted Spine Surgery

Robotic and navigation-assisted spine surgery represents the forefront of surgical innovation, offering unparalleled precision and accuracy. We are skilled in using robotic systems and computer navigation to enhance the precision of spinal surgeries, particularly in complex cases such as deformity corrections and multi-level fusions. These advanced technologies allow us to plan and execute surgeries with incredible accuracy, reducing the risk of complications and improving patient outcomes. Robotic and navigation-assisted techniques are especially beneficial in minimally invasive surgeries, where the goal is to maximize results while minimizing damage to surrounding tissues.

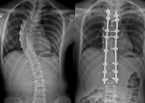
Scoliosis

Scoliosis

Scoliosis is a condition where the spine curves sideways, forming an "S" or "C" shape. It can develop at any age but is most commonly seen in adolescents. There are several types of scoliosis, including idiopathic scoliosis (the most common form, with no known cause), congenital scoliosis (present at birth due to malformations of the spine), and neuromuscular scoliosis (associated with neurological or muscular conditions such as cerebral palsy or muscular dystrophy).

Symptoms of Scoliosis:

  • Uneven shoulders or waist
  • One shoulder blade more prominent than the other
  • Rib hump on one side when bending forward
  • Back pain, especially in adults
  • Difficulty breathing (in severe cases due to lung compression)

Treatment Options:

Treatment depends on the severity of the curve, the patient's age, and the likelihood of the condition progressing.

1. Conservative Treatment:

  • Observation: For mild curves (less than 20 degrees), regular monitoring is recommended to assess if the curve worsens.
  • Bracing: In growing adolescents with moderate curves (20-40 degrees), bracing can help prevent further curvature. Bracing doesn’t cure scoliosis but can stop its progression in some cases.
  • Physical Therapy: Aimed at strengthening core muscles, improving posture, and increasing flexibility. Exercises such as Schroth therapy are specifically designed for scoliosis patients.

2. Surgical Treatment:

  • Spinal Fusion Surgery: Recommended for severe curves (greater than 40-50 degrees) or if conservative treatments fail. The goal is to straighten and fuse the vertebrae to prevent further progression.
  • Vertebral Body Tethering: A newer technique used in select cases to allow for continued spinal growth while correcting the curvature.
Kyphosis

Kyphosis

Kyphosis refers to an excessive forward curvature of the upper spine, often resulting in a hunched or rounded back. It can be caused by poor posture (postural kyphosis), structural problems with the spine (Scheuermann’s kyphosis), or spinal fractures (especially due to osteoporosis) or congenital.

Symptoms of Kyphosis:

  • Rounded or hunched back
  • Back pain and stiffness
  • Muscle fatigue in the back and legs
  • Breathing difficulties (in severe cases)

Treatment Options:

1. Conservative Treatment:

  • Postural Exercises: For postural kyphosis, physical therapy focusing on improving posture and strengthening back muscles can be effective.
  • Bracing: In adolescents with Scheuermann's kyphosis, bracing may help slow or stop the progression of the curve during growth periods.
  • Pain Management: In adults, kyphosis-related pain can often be managed with anti-inflammatory medications, physical therapy, and lifestyle modifications like proper ergonomics.

2. Surgical Treatment:

  • Spinal Fusion Surgery: For severe kyphosis (typically greater than 70 degrees), surgery may be needed to correct the curvature and stabilize the spine. This is generally recommended when kyphosis is causing significant pain or affecting lung function.
Cervical & Lumbar Disc Prolapse

Cervical & Lumbar Disc Prolapse

A disc prolapse (commonly referred to as a herniated disc or slipped disc) occurs when the soft center of a spinal disc pushes through a tear in the outer layer, compressing nearby nerves. This can happen in both the cervical (neck) and lumbar (lower back) regions.

Symptoms:

  • Cervical Disc Prolapse: Neck pain, radiating pain into the shoulders and arms, numbness or tingling in the hands, weakness in the arms or hands.
  • Lumbar Disc Prolapse: Lower back pain, radiating pain into the buttocks or legs (sciatica), numbness or tingling in the legs or feet, weakness in the legs.

Conservative Treatment Options:

1. Medications:

  • Nonsteroidal anti-inflammatory drugs (NSAIDs): To reduce pain and inflammation.
  • Muscle relaxants: For spasms that may occur due to disc prolapse.
  • Oral corticosteroids: In some cases, short-term use of steroids can help reduce severe inflammation.

2. Physical Therapy:

  • Cervical Disc Prolapse: Neck exercises, postural training, and traction can relieve nerve compression and improve mobility.
  • Lumbar Disc Prolapse: Core-strengthening exercises, stretching, and physical therapy modalities such as traction can reduce the pressure on the affected nerve roots and provide relief.

3. Epidural Steroid Injections:

  • For patients who don’t respond to medication and therapy, epidural steroid injections can reduce inflammation around the affected nerves, offering temporary relief.

4. Lifestyle Modifications:

  • Avoid heavy lifting or sudden movements that can aggravate the condition.
  • Adopting a proper posture, both when sitting and standing, to minimize stress on the spine.
Cervical Myelopathy

Cervical Myelopathy

Cervical Myelopathy is a serious condition caused by the compression of the spinal cord in the cervical spine (neck). It typically results from degenerative changes such as disc herniation, bone spurs, or spinal stenosis and leads to progressive loss of function over time.

Symptoms:

  • Neck stiffness and pain
  • Loss of fine motor skills, particularly in the hands
  • Numbness or weakness in the arms or legs
  • Difficulty with balance and coordination
  • Clumsiness or frequent falls

Conservative Treatment Options:

1. Medications:

  • NSAIDs to reduce inflammation and pain.
  • Corticosteroids may be prescribed for short-term relief of inflammation around the spinal cord.

2. Physical Therapy:

  • Exercises to improve neck mobility and strengthen supporting muscles, while also helping improve balance and coordination. In mild cases, physical therapy can help maintain function.

3. Cervical Collar:

  • In some cases, a soft cervical collar may be used to limit neck movement and prevent further injury to the spinal cord.

4. Epidural Steroid Injections:

  • This may be an option to reduce inflammation around the compressed spinal cord.

However, conservative treatment is typically only recommended for asymptomatic or mild cases or patients who are not fit for surgery. If neurological symptoms worsen, surgical decompression is generally recommended.

Lumbar Canal Stenosis

Lumbar Canal Stenosis

Lumbar Canal Stenosis is a narrowing of the spinal canal in the lower back, leading to compression of the spinal cord or nerve roots. It is often caused by degenerative changes such as arthritis, disc degeneration, or the thickening of ligaments.

Symptoms:

  • Lower back pain
  • Pain or cramping in the legs when standing or walking (neurogenic claudication)
  • Numbness, tingling, or weakness in the legs
  • Symptoms improve when sitting or leaning forward (spinal flexion)

Conservative Treatment Options:

1. Medications:

  • NSAIDs for pain relief and reduction of inflammation.
  • Muscle relaxants to alleviate muscle tension that can exacerbate symptoms.

2. Physical Therapy:

  • Core-strengthening exercises and lumbar flexion exercises can reduce pressure on the spine and improve mobility.
  • Stretching exercises to increase flexibility in the back and legs.

3. Epidural Steroid Injections:

  • These injections can reduce inflammation around the compressed nerves, offering temporary relief from pain and other symptoms.

4. Activity Modification:

  • Avoid activities that worsen symptoms, such as standing or walking for prolonged periods.
  • Walking with a slight forward flexion (leaning slightly forward) or using a walker can sometimes alleviate pressure on the spinal canal.

5. Lifestyle Changes:

  • Weight management and low-impact aerobic exercises like swimming can help reduce stress on the lower back.

For more severe cases, where conservative management fails to provide relief, surgical intervention, such as a laminectomy or spinal fusion, may be considered to relieve nerve compression and improve quality of life.

Advanced Pain Management Techniques

Advanced Pain Management Techniques

1. Selective Nerve Root Block for Lumbar Disc Prolapse

Selective nerve root blocks are a vital tool for diagnosing and treating lumbar disc prolapse. This procedure involves injecting anesthetic and, when appropriate, corticosteroids near the affected nerve root. By targeting specific areas, we can alleviate pain caused by nerve compression and reduce inflammation, providing both immediate relief and valuable diagnostic information.

Key Benefits:

  • Effective pain relief for radiculopathy
  • Reduced inflammation and irritation
  • Enhanced mobility and daily function
  • Clearer diagnosis of pain sources

2. Cervical Epidural Injections

Cervical epidural injections deliver medication directly into the epidural space of the cervical spine, effectively treating conditions like herniated discs, cervical spondylosis, and spinal stenosis. This minimally invasive procedure targets inflammation around the spinal cord and nerve roots, offering significant pain relief and improved functionality.

Key Benefits:

  • Targeted and effective pain management
  • Minimally invasive with quick recovery
  • Potential to delay or avoid surgical intervention
  • Comprehensive approach to neck pain relief

3. Facet Joint Blocks

Facet joint blocks involve injecting anesthetic into the facet joints of the spine to alleviate pain associated with arthritis or injury. This procedure not only provides immediate pain relief but also assists in identifying the source of discomfort, allowing for a more tailored treatment plan.

Key Benefits:

  • Direct targeting of facet joint pain
  • Immediate and lasting pain relief
  • Enhances diagnostic accuracy
  • Supports comprehensive treatment strategies

4. Ganglion Impar Block for Coccydynia

For patients suffering from coccydynia (tailbone pain), the ganglion impar block offers targeted relief. This procedure involves injecting anesthetic near the ganglion impar, effectively interrupting pain signals and alleviating discomfort. Ideal for those who have not responded to conservative treatments, this block can significantly improve quality of life.

Key Benefits:

  • Direct relief for coccydynia
  • Minimally invasive with low recovery time
  • Effective in reducing pain and discomfort
  • Can enhance overall mobility and function